Test 2

Test 2 hignlskdfjpwefglsdkfjslkdjfs;dfkjas;df HELLOOOOO

Read More

Cancer Drug Mechanisms

To understand how and why cancer spreads to different parts of the body to enable design of treatments to stop the process.

Professor Glen Boyle

Group Leader

Research Focus

The Cancer Drug Mechanisms Laboratory combines expertise in cell biology with understanding of drug mechanisms to treat cancers and other chronic diseases.

The group’s cancer biology work currently focuses on understanding the development and progression of cancers of the skin and oral cavity.

Specifically, the laboratory is investigating the molecular mechanisms involved in the progression and metastasis of melanoma, head and neck cancer, as well as cutaneous squamous cell carcinoma. These mechanisms also affect drug resistance of cancers.

The identification and understanding of pathways in these cancers is crucial prior to the design or identification of suitable treatments. The group also uses its cell biology knowledge to assist in the development process for novel agents targeting cancer and other chronic disorders.

Gallery

Research Projects

Current Research Projects

Heterogeneity and cellular cooperativity in melanoma progression, metastasis and drug resistance

Identification of factors involved in melanoma invasion that impart survival of cancer cells in circulation and during metastasis

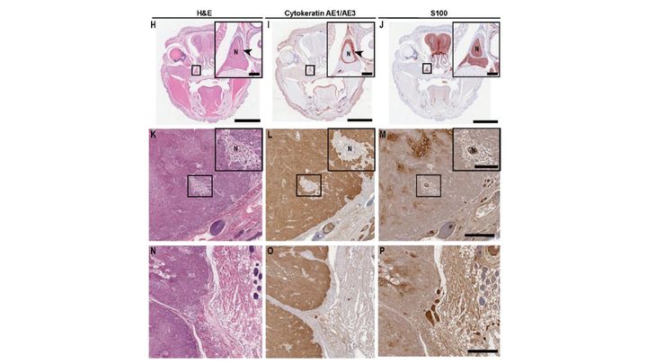
Molecular investigation of cancers of the head and neck, including squamous cell carcinoma with perineural invasion


Research Team

Emily Wilson

Hannah Neuendorf

Dr Kevin Hendrawan

Mei Fong Ng


Funding

  • National Health and Medical Research Council
  • Cancer Council Queensland
  • Perpetual Trustees – Wilson Fellowship for Skin Cancer Research


Publications

Cozzi, S-J., Parsons, P.G., Ogbourne, S.M., Pedley, J. and Boyle, G.M. (2006) Induction of senescence in diterpene ester-treated melanoma cells via PKC-dependent hyperactivation of the MAPK pathway. Cancer Res. 66, 10083-10091. doi: 10.1158/0008-5472.CAN-06-0348.

Boyle, G.M., Pedley, J., Martyn, A.C., Banducci, K.J., Strutton, G.M., Brown, D.A., Breit, S.N. and Parsons, P.G. (2009) Macrophage Inhibitory Cytokine-1 is overexpressed in malignant melanoma and associated with tumorigenicity. J. Invest. Dermatol. 129, 383-391. doi: 10.1038/jid.2008.270.

Boyle, G.M., Woods, S.L., Bonazzi, V.F., Stark, M.S., Hacker, E., Aoude, L.G., Dutton-Regester, K., Cook, A.L., Sturm, R.A. and Hayward, N.K. (2011) Melanoma cell invasiveness is regulated by miR-211 suppression of the BRN2 transcription factor. Pigment Cell Melanoma Res. 24, 525-537. doi: 10.1111/j.1755-148X.2011.00849.x.

Read more

Further Information



External Collaborations
  • Professor Craig Williams, University of Queensland
  • Dr Aaron Smith, Queensland University of Technology
  • Professor Nikolas Haass, University of Queensland
  • Professor Ben Panizza, Princess Alexandra Hospital
  • Associate Professor Steve Ralph, Griffith University
  • Associate Professor Terry Piva, RMIT University
  • Associate Professor Ryan Moseley, Cardiff Institute of Tissue Engineering & Repair, Cardiff University
  • Professor Giovanni Appendino, Università degli Studi del Piemonte
  • Professor David Thomas, School of Dentistry, Cardiff University