Test 2

Test 2 hignlskdfjpwefglsdkfjslkdjfs;dfkjas;df HELLOOOOO

Read More

Cancer Metabolism

To unravel the full spectrum of molecular mechanisms driving the associations between physiological stressors and cancer risk and progression

Dr Nils Halberg

Group Leader

Research Focus

The Cancer Metabolism Group is keenly interested in how the physiological state of a person affects cancers.

Over a person’s lifetime, somatic cells will accumulate spontaneously occurring gene mutations, the majority of which do not cause disease. The global incidence of cancer has more than doubled over the past 30 years – primarily due to increasing living standards, modern lifestyles, and an aging population.

The common denominator for these is alterations to the physiological homeostasis of the individual at risk rather than a change in mutational burden. This strongly implies that the interaction of physiological conditions with cells harboring oncogenic mutations governs cancer risk.

The Cancer Metabolism lab utilises systems biology technologies to both clinical biobank and mouse models to dissect the molecular drivers of the intersect between physiology and tumorigenesis.

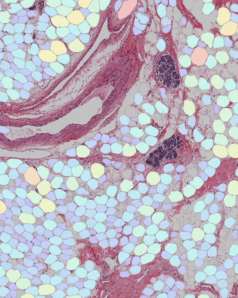
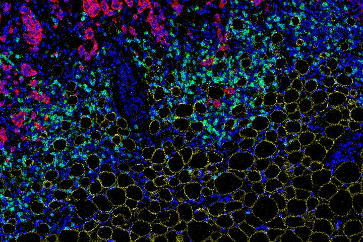
Gallery

Research Projects

Current Research Projects

How does epigenetic deregulation regulate obesity-induced tumor formation?

How is the tumor ecosystem affected by obesity and how does that affect tumor outcomes?

Favorite Topics


Research Team

Kelly Velasco

Adam Truskewycz

Line Petersen

Sina Takle


Funding

  • Research Council Norway - Scientific Renewal
  • Research Council Norway - Young Talent
  • Norwegian Cancer Society - Open Call
  • Norwegian Cancer Society - Pink Ribbon
  • Research Council Norway - Commercialisation
  • Novo Nordisk Foundation - PreSeed
  • Trond Mohn Foundation - Starter Grant

Key Publications

C/EBPB-dependent adaptation to palmitic acid promotes tumor formation in hormone receptor negative breast cancer. Liu XZ, Rulina A, Choi MH, Pedersen L, Lepland J, Takle ST, Madeleine N, Peters SD, Wogsland CE, Grøndal SM, Lorens JB, Goodarzi H, Lønning PE, Knappskog S, Molven A, Halberg N. Nat Commun. 2022 Jan 10;13(1):69. doi: 10.1038/s41467-021-27734-2. PMID: 35013251

PITPNC1 Recruits RAB1B to the Golgi Network to Drive Malignant Secretion. Halberg N, Sengelaub CA, Navrazhina K, Molina H, Uryu K, Tavazoie SF. Cancer Cell. 2016 Mar 14;29(3):339-353. doi: 10.1016/j.ccell.2016.02.013. PMID: 26977884

Cellular mechanisms linking cancers to obesity. Liu XZ, Pedersen L, Halberg N. Cell Stress. 2021 Apr 12;5(5):55-72. doi: 10.15698/cst2021.05.248. PMID: 33987528

Fully updated list of publications (google scholar)


Further Information


Past Researchers

PhD Students

  • Xiaozheng Liu 2016-2020 (Now, postdoc with Sarah Fendt, KU Leuven)
  • Benedict Man Hung Choi 2017-2020 (Now, postdoc with Hani Goodarzi, Arc Institute/UCSF)
  • Pouda Panahandeh 2015-2019 (Now, postdoc with Gunnar Melgre, University of Bergen)
  • Line Pedersen 2015-2019 (Now Marie Curie Fellow with Philipp Scherer, UTSW and Halberg lab)

Post Docs

  • Cara Wogsland 2016 -2019 (Now, Senior Research Kinn Therapeutics, Norway)
  • Anastassia Rulina 2017 -2020 (Now, Senior Research Astra Zeneca, Sweden)

Master Students

  • Eric Holt 2023-2024
  • Oda Kjæmpenes 2023-2024
  • Ghazal Lessan Toussi 2022-2023
  • Johanna Lepland 2021-2022
  • Alex Williams 2021-2022
  • Marcus Langeland Nygård 2021-2022
  • Susanne Benjaminsen 2020-2021
  • Kristine Monsen 2020-2021
  • Synnøve Aamold 2019-2020
  • Ishtiaq Siraji 2018-2019
  • Hilde Lien 2020-2021

Visiting Students

  • Pahul Hanjra 2017-2018 (Fulbright Student; MD/PhD Student MD Anderson (USA)

External Collaborations
  • Philipp Scherer, UTSW, USA
  • Hani Goodarzi, Arc Institute, USA
  • Rolf Brekken, UTSW, USA
  • Srinivas Malladi, UTSW, USA
  • Jim Lorens, University of Bergen, Norway
  • Sarah Fendt, KU Leuven, Belgium
  • Colinda Schele, KU Leuven, Belgium
  • Ivonne Regel, LMU Münich, Germany
  • Anders Molven, University of Bergen, Norway
  • Stian Knappskog, University of Bergen, Norway
  • Caroline Verbeke, Oslo University Hospital, Norway