Test 2

Test 2 hignlskdfjpwefglsdkfjslkdjfs;dfkjas;df HELLOOOOO

Read More

The impact of our research

We are leaders in the field of oesophageal cancer research, working on multiple approaches to improve diagnosis and treatment.

QIMR Berghofer researchers are developing and commercialising a simple blood test to detect the most common form of oesophageal cancer.

We’ve developed a 'prediction model' to identify people at high risk of developing oesophageal cancer.

We’ve identified several new genes involved in oesophageal cancer.

About oesophageal cancers

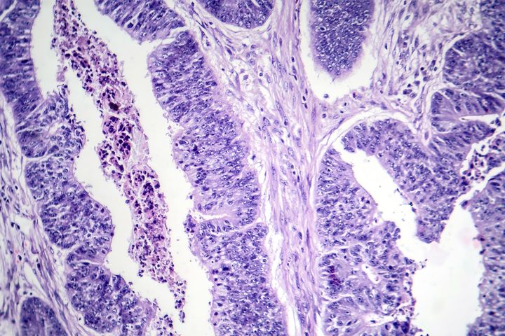
What is oesophageal cancer?

Oesophageal cancer is a malignant tumour that grows in the oesophagus – the tube that leads from the throat to the stomach.


Two different types of cancer affect the oesophagus:

  • Oesophageal squamous cell carcinoma (OSCC) is generally found in the upper section of the oesophagus and begins in the cells that line the oesophagus.
  • Oesophageal adenocarcinoma (OAC) begins in glandular cells that make and release mucous at the lower section of the oesophagus near the stomach.


Oesophageal cancer is a rare cancer in Australia, with approximately 1,500 new cases annually. Unfortunately, a similar number of deaths are attributed to oesophageal cancer each year.

Earlier detection and more treatment options are needed to improve health outcomes for people with oesophageal cancer.

Who’s most at risk of oesophageal cancer?

While oesophageal cancer can affect both men and women, it’s more likely to be found in men.

You’re more at risk of OAC if you:

  • have gastro-oesophageal reflux disease (GORD)
  • have Barrett’s oesophagus*
  • have a family history of gastrointestinal disorders
  • are over 50
  • are obese
  • eat limited fruit and vegetables.


Men are more likely than females to be diagnosed and die from this cancer.

* Barrett’s oesophagus is a condition in which the normal flat-celled (squamous) lining of the oesophagus changes and becomes similar to the glandular tissue lining the intestine. This change is called metaplasia, which can progress to a more dangerous, pre-cancerous form called dysplasia. In a small number of patients, these changes go on to form OAC.

What are the symptoms of oesophageal cancer?

In its early stages, oesophageal cancer often grows slowly. This means there are non-specific symptoms or no symptoms at all. Many people are only diagnosed when it’s already advanced to later stages, and treatment options are limited.

Unfortunately, this means most patients die within 12 months of diagnosis.


Symptoms of oesophageal cancer may include:

  • painful or difficulty swallowing
  • new heartburn
  • persistent reflux
  • vomit with blood in it
  • black or bloody stools
  • unexplained fatigue
  • feeling of choking when swallowing
  • discomfort in the upper abdomen, particularly when eating
  • unexplained weight loss.
How is oesophageal cancer treated?

Treatment options depend on the stage of cancer at diagnosis.

Treatment options include:

  • surgery to remove the tumour
  • chemotherapy to shrink the tumour before surgery or destroy any remaining cancer after surgery
  • radiation therapy, which uses x-rays to destroy or injure cancer cells. This may be used to shrink the tumour before surgery, or destroy any remaining cancer after surgery.

Facts about oesophageal cancers

1,700+
Australians diagnosed with oesophageal cancer every year.
23%
5-year survival rate.
71 years
average age at diagnosis.