Test 2

Test 2 hignlskdfjpwefglsdkfjslkdjfs;dfkjas;df HELLOOOOO

Read More

Research Focus

The Applied Tropical and Molecular Parasitology laboratory focuses on developing new diagnostics for, primarily, helminth infections and utilising molecular tools to investigate epidemiology of disease. We have a particular focus on zoonotic parasites such as Schistosoma sp., Strongyloides sp., and hookworm, applying a One Health lens to research projects with an aim for prevention of parasite infection. We collaborate closely with the Global Health and Tropical Medicine group to develop multifaceted control programs to achieve this goal.

Gallery

Carabao in Western Samar province, the Philippines. Carabao are major reservoirs of Schistosoma japonicum infection, contributing up to 75% of all transmission to humans. They do this by contaminating water sources with faeces containing large numbers of eggs which then hatch into miracidia and infect snails also present in the water.
The egg of Schistosoma japonicum on a wet mount and viewed by light microscopy. These eggs hatch upon contact with water, releasing the miracidia which then penetrate a snail host where they undergo asexual preproduction before emerging as infective cercariae.
Miracidia (pictured) emerge from Schistosoma spp. eggs upon contact with water. Here you can see the fine cilia covering the outside of the miracidia, which help it to swim in search of a snail intermediate host.
Image of adult Schistosoma mansoni worms (larger male worm embracing the slender female) on electron microscopy
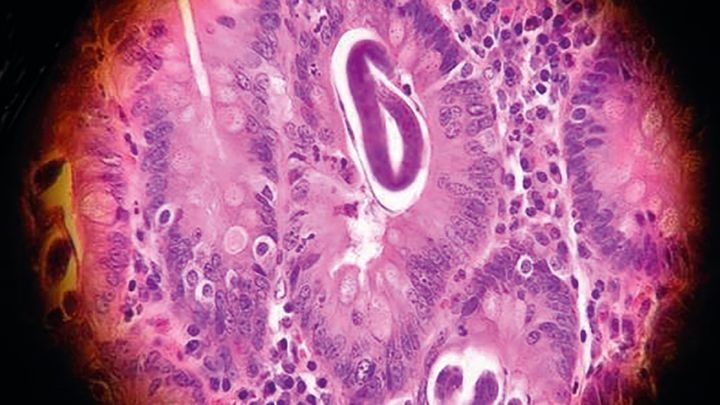
An H&E stained slide of the gut of a human infected with Strongyloides stercoralis.
The lifecycle of Strongyloides stercoralis and Strongyloides fuelleborni. One of the major issues with S. stercoralis infection is the autoinfective cycle, whereby the parasite can complete its lifecycle within the host leading to infections that can last for decades. S. fuelleborni is a known zoonosis in non-human primates, but the status of S. stercoralis as a zoonosis in dogs needs to be further explored.

Research Projects

Current Research Projects

Schistosoma mekongi in Lao PDR.

Ending the neglect – Setting the platform for Strongyloidiasis elimination in Australia.

Low-cost DNA diagnostic tools for early parasitic worm detection.


Research Team

Twyla Bradshaw

Emmanuel Tabilin

Natasha Collinson

Professor Kosala Weerakoon


Funding

●       NHMRC e-ASIA Joint Research Program (e-Asia JRP) “Eliminating S. mekongi – the final push”

●       NHMRC e-ASIA Joint Research Program (e-ASIA JRP) “Eliminating the Major Helminth Neglected Tropical Diseases from the Lower Mekong Basin”

●       NHMRC Synergy Grant “Ending the neglect – setting the platform for strongyloidiasis elimination in Australia”

●       NHMRC e-ASIA Joint Research Program (e-Asia JRP) “Rapid point of care diagnostics for the elimination of Asian Schistosomiasis”

●       Australia-Indonesia Institute Grants Program, Uniting science and the arts to improve Indonesian child health


Publications

Gordon, C. A., J. Utzinger, S. Muhi, S. L. Becker, J. Keiser, V. Khieu and D. J. Gray (2024). "Strongyloidiasis." Nature Reviews Disease Primers 10(6).

Jones, M. K., J. Keiser, C. A. Gordon and D. P. McManus (2023). Trematodes. Manual of Clinical Microbiology. K. C. Carroll, M. A. Pfaller, J. A. Karlowsky et al., ASM Press.

Aula, O. P., D. P. McManus, M. K. Jones, H. You, P. Cai and C. A. Gordon (2023). "Optimisation of the DNA dipstick as a rapid extraction method for Schistosoma japonicum in infected mice samples and spiked human clinical samples." Infectious Diseases of Poverty 12(1): 71.


Further Information



External Collaborations

●       Professor Gail Williams, University of Queensland

●       Professor Carlos Graeff Teixeira, Universidade Federal do Espíritu Santo, Brazil

●       Dr Mario Jiz, Research Institute of Tropical Medicine, Manila

●       Dr Marianette Inobaya, Research Institute of Tropical Medicine, Manila

●       A/Professor Marcello Otake Sato, Niigata University, Japan

●       Dr Yasuhito Sako, Asahikawa Medical University, Japan

●       Dr Geoff Gobert, University of Belfast

●       Professor Jurg Utzinger, Swiss Tropical Institute

●       Professor Robert Bergquist , WHO

●       Richard Bradbury, James Cook University

●       Professor Somphou Sayasone, Lao Tropical and Public Health Institute, Lao PDR

●       Professor Virak Khieu, National Centre for Parasitology, Entomology and Malaria Control, Cambodia

●       Professor Banchob Sripa, Khon Kaen University,Thailand

●       Emeritus Professor Donald Hard, Griffith University