Test 2

Test 2 hignlskdfjpwefglsdkfjslkdjfs;dfkjas;df HELLOOOOO

Read More

The impact of our research

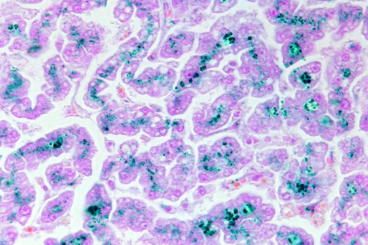
Haemochromatosis is the most common genetic disorder in Australia, leading to excess iron being absorbed by the body.

QIMR Berghofer researchers have found a crucial link between arthritis and serious liver disease. We’ve discovered that people with both haemochromatosis and arthritis have a higher risk of liver disease than those with haemochromatosis alone.

We’ve identified a new variant of a gene that helps regulate iron and haemoglobin levels. We’re also investigating whether nanotechnology can be used to regulate iron levels.

Our research suggests that a hormone produced by the liver – hepcidin – holds the key to most forms of haemochromatosis and anaemia.

We’re helping design and host the world’s first patient register for haemochromatosis.

About haemochromatosis

What is haemochromatosis?

Haemochromatosis is an inherited condition that causes the body to absorb excess iron from food.

Although iron is essential for good health, too much iron can be detrimental. Excess iron is stored in organs and joints in the body, which can damage the liver, heart, pancreas, and other major organs.

Who’s most at risk of haemochromatosis?

One in 200 Australians has two copies of the major mutation in the haemochromatosis gene (HFE). This predisposes them to iron-loading disease.

What are the symptoms of haemochromatosis?

Symptoms vary greatly, and many people don’t show any symptoms at all. Others can experience:

  • lethargy
  • weakness
  • hair loss
  • pain in the abdomen or joints
  • shortness of breath.


Those severely affected by haemochromatosis can develop arthritis, diabetes, liver damage or heart disease. In rare cases, haemochromatosis can be life-threatening.

If haemochromatosis is detected early, it’s possible to avoid any subsequent health problems.

How is haemochromatosis treated?

Haemochromatosis is treated by bleeding – a procedure to remove some of your blood. This treatment used to be widespread for many diseases but is now only used for a few conditions.

A great deal of iron is stored in the body’s red blood cells, so removing blood will deplete excess iron.

For severe haemochromatosis, doctors can draw close to 500mL of blood twice a week. Once iron levels are normal, blood draws must still be performed three or four times a year.

Facts about haemochromatosis

1 in 200
Australians has two copies of the gene that predisposes them to haemochromatosis.
20,000+
Australians affected by haemochromatosis or related diseases.
500mL
of blood can be drawn twice a week for those with severe haemochromatosis.