Test 2

Test 2 hignlskdfjpwefglsdkfjslkdjfs;dfkjas;df HELLOOOOO

Read More

Microscopy and Spatial Cell Biology Facility

Microscopy underpins the acquisition of spatial information required for understanding the biology of diseased cells or tissues. Various microscopy techniques and platforms can be used to measure parameters that impact disease states at various scales of magnification from subcellular (DNA, RNA, proteins and organelles) to cellular and tissue-scale morphology. The spatial organization and distribution of molecules and cells within diseased tissue environments provide critical insights to better understand disease progression and response to therapy.

About

Our Microscopy & Spatial Cell Biology Facility is equipped with a comprehensive range of instruments for imaging both fixed or living cells and tissue. These include stereo microscopes, slide scanners, compound microscopes, confocal microscopes, intra-vital microscopes, a scanning electron microscope, cyclic immunofluorescence microscopy, spatial molecular imaging, and various analysis stations and software. We are equipped to capture images of cells or tissue stained with colourimetric dyes or fluorescent dyes at various resolutions from macro to super resolution.

We provide assistance and training on all instruments and software in the facility and can provide full service for some services if required.

Our Microscopy Facility is proudly supported by the Australian Cancer Research Foundation and operates microscopes in the ACRF-Centre for Comprehensive Biomedical Imaging.

We also proudly support and interact with the:

  • Australian Microscopy and Microanalysis Society (AMMS)
  • Light Microscopy Australia (LMA)
  • Microscopy Australia (MA)
  • ACRF Cancer Biology Imaging Facility and the ACRF Cancer Ultrastructure and Function Facility at the Institute for Molecular Bioscience (IMB)
  • Centre for Microscopy and Microanalysis-UQ (CMM)
  • Microscopy Facility at Translational Research Institute
  • Microscopy Facility at QUT
  • Advanced Microscopy Facility at the Queensland Brain Institute (QBI).

Services

The Microscopy & Spatial Cell Biology Facility provides services within four major categories:

1. Slide scanning

  • Brightfield slide scanning for H&E, IHC and other chromogenic and colorimetric stains.
  • Fluorescence slide scanning for biological samples stain with fluorescent dyes

2. General fluorescence imaging

  • Widefield epifluorescence imaging microscopes
  • Andor Spinning disk confocal microscope for fast image acquisition in brightfield and fluorescence
  • Crest Optics Deepsim microscope for ~120nm super resolution fluorescence imaging
  • Leica Stellaris 5 and Zeiss 780 NLO laser scanning confocal microscopes for high resolution 3D fluorescence imaging of cells and tissue samples
  • Olympus FVMPE multiphoton microscope with MatiTai DeepSee and Insight DeepSee lasers, environmental chamber, analog triggering, anaesthetic equipment and animal health monitors for intravital imaging

3. Multi-well live cell imaging

  • 3 Incucyte Zoom instruments for brightfield + 2 channel fluorescence with end-to-end image acquisition and analysis
  • 2 Incucyte SX5 instruments for brightfield + 3 channel fluorescence with end-to-end image acquisition and analysis

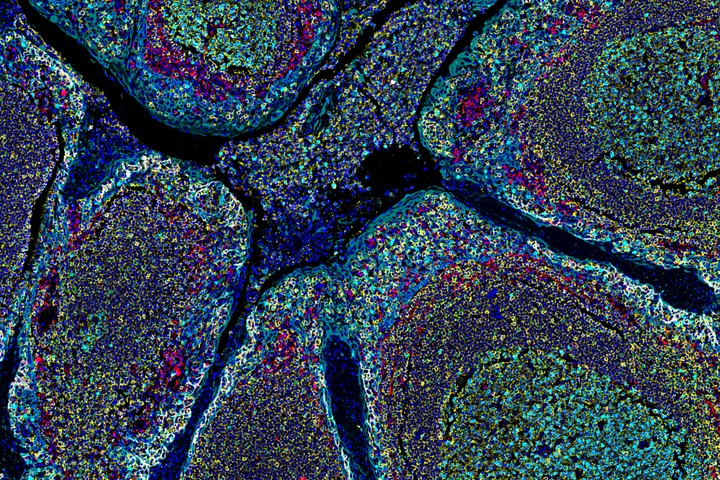
4. Spatial biology platforms

  • Akoya Phenocycler Open system for high-plex (up to 100) cyclic immunofluorescence imaging on the same tissue sample
  • 10X Xenium In Situ system for up to 5000 RNA transcript spatial imaging
  • Nanostring CosMx Spatial Molecular Imager for up to 6000
    RNA transcript spatial imaging

The facility also provides access to a range of high specification analysis computers with specialised software for image analysis.

Training and education

Microscopes can appear complicated but can be less daunting if explained properly. Our highly experienced staff can assist with understanding microscopes in general and offers full training on all of the instruments in the facility. The facility can also provide some assistance with image analysis.

We also provide consultancy, technical assistance, and education and training on all of the instruments and software in the facility. We can provide full service where possible and outreach, including tours and visits to schools and companies, on request.

Our Team

Dr Tam Nguyen

Hani Vu


Equipment

General Microscopes

EVOS FL Auto - Inverted fluorescence microscope

Leica MZ9-5 - Brightfield stereo microscope

Slide Scanners

Aperio Scanscope XT - Brightfield slide scanner

Aperio Scanscope AT Turbo - Brightfield slide scanner

Spatial Molecular Imagers

Akoya Phenocycler – Cyclic immunohistochemistry

Nanostring CosMx

Specialised Microscopes

Zeiss 780 NLO - Point scanning confocal microscope

Andor WD Revolution - Spinning disk confocal microscope

Multi-well imaging systems

IncuCyte Zoom

IncuCyte SX5

Peripheral Equipment

Multi-well scratch wound maker

CellAsic

Image acquisition and analysis software

Analysis software

Gallery

Highly experienced staff offer full training on all the instruments
Highly experienced staff offer full training on all the instruments

Projects

ACRF – Centre for Comprehensive Biomedical Imaging.

ACRF - Centre for Optimal Cancer Therapy.

Defining the parameters and providing protocols, with advice, for measuring features of cell death by microscopy and flow cytometry.