Test 2

Test 2 hignlskdfjpwefglsdkfjslkdjfs;dfkjas;df HELLOOOOO

Read More

Histology

Our Histology Facility is a vital resource for researchers seeking high-quality histological services. With a team committed to excellence and collaboration, we aim to empower our clients and further the field of histology through meticulous work and innovative solutions. Whether you’re starting a new project or need specific technical assistance, our facility is prepared to support your scientific journey.

Credited for compliance with ISO/IEC 17025 - Testing and calibration labs
NATA Accreditation No: 20998
Site No: 25237

About

Our Histology Facility is a state-of-the-art service and research laboratory dedicated to advancing histology through expert support and comprehensive services. We provide specialised histology offerings performed by our experienced staff, which include sample preparation, embedding, sectioning and a range of staining techniques, including immunohistochemistry and spatial biology. Our facility is designed to meet the diverse needs of scientists and postgraduate students from the QIMR Berghofer Medical Research Institute, as well as external and international institutions, creating a collaborative environment that fosters innovation and research excellence.

The strength of our facility lies in our team, known for their extensive expertise in both routine and specialised histological techniques. With specialists in tissue processing, embedding and sectioning, we can adeptly manage a wide variety of sample types and complexities. Our proficiency in antibody optimisation and advanced immunohistochemistry methods, including multiplex staining, allows us to deliver detailed insights into tissue morphology and function, which are essential for both research and diagnostics.

Our commitment to client success goes beyond service provision. Our team is always eager to offer guidance on project planning and development. Whether you need assistance with experimental design, training in specific techniques or troubleshooting existing methodologies, our staff are here to help. We take pride in providing responsive, tailored support that aligns with each client’s research objectives.

Central to our mission is a dedication to achieving the highest quality results in a cost-effective manner. We recognise the pressures of research timelines and budget constraints, and we strive to deliver optimal outcomes without sacrificing quality. Our facility is equipped with cutting-edge technology and adheres to rigorous quality control measures, ensuring that all
histological preparations meet the highest standards.

Services

We provide technical services, information and advice on appropriate procedures and we train and consult on matters relating to:

  • Routine paraffin and cryo histology
  • H&Es and special stains
  • Organoids and Spheroids
  • Immunohistochemistry (Chromogenic, AlexaFlour and Tyramide Signal Amplification)
  • Antibody optimisation
  • CosMx, Codex and Xenium Spatial Visualisations solutions
  • FISH and CISH labelling
  • Tissue Micro Array (TMA) preparation and high-resolution digitisation of histology slides.

The facility stocks a broad selection of commonly used primary antibodies and secondary detection antibodies to label mouse, rat, rabbit, goat, sheep, hamster, guinea pig and chicken primary antibodies with horseradish peroxidase, alkaline phosphatase, Alexa fluorescent or Tyramide (TSA) markers.

What is histology?

Histology plays a crucial role in medical research as it provides a detailed understanding of the structure and function of tissues and organs at a microscopic level. By examining tissues under a microscope, researchers can identify cellular characteristics, organisation, and interactions that are essential for comprehending normal physiological processes and pathological conditions. This intricate study of tissues not only aids in diagnosing diseases but also plays a significant role in the development of targeted therapies and innovative medical treatments.

Histological techniques, such as staining and sectioning, enhance the visibility of cellular components, allowing scientists to distinguish between different types of cells and their functions. For instance, hematoxylin and eosin staining highlights cellular structures, making it easier to identify abnormalities associated with conditions like cancer or autoimmune diseases. Moreover, advanced methods like immunohistochemistry enable the localisation of specific proteins within tissues, offering insights into disease mechanisms and potential therapeutic targets.

Histology serves as a cornerstone of medical research, bridging the gap between microscopic observations and clinical applications. Its contributions to understanding tissue architecture, disease mechanisms, and therapeutic development underscore the importance of this field in advancing medical science and improving patient outcomes. As techniques continue to evolve, the future of histology promises even greater insights into the complex world of cellular biology and disease.

Our Team

Dr Andrew Masel

Dr Ashwini R Potadar

Blake Ferguson

Crystal Chang


Equipment

Tissue-Tek IP 6 AI Vacuum Infiltration Processor

Tissue-Tek TEC 6 Paraffin Embedder

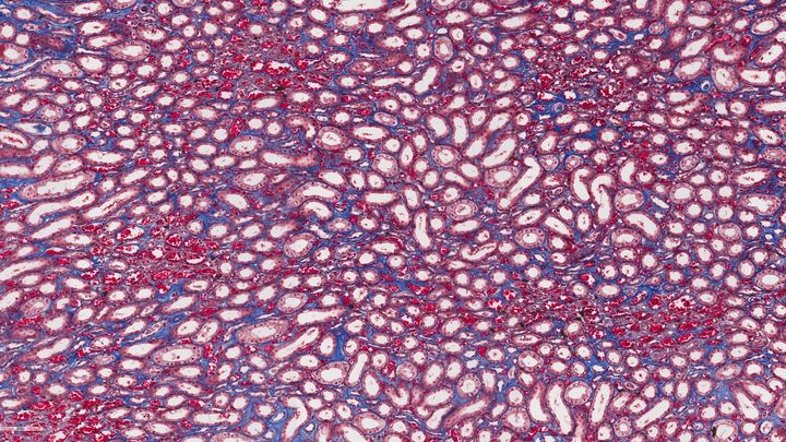
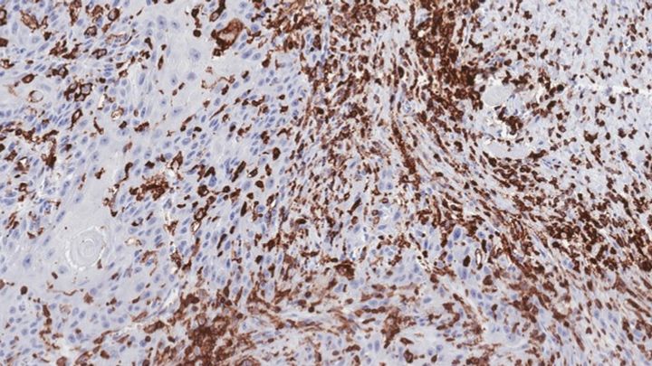
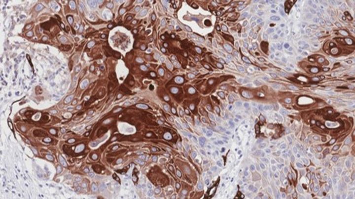
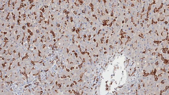
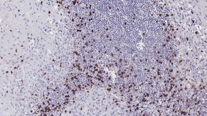
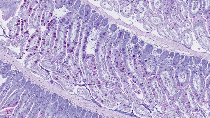
Gallery

Epithelial cells
Gut_stained
Mosquito
Tumour

Accreditation




Credited for compliance with ISO/IEC 17025 - Testing and calibration laboratories

Accreditation No: 20998

Site No: 25237

Site Name: QIMR Berghofer Scientific Services

Analysis in support of clinical trials and/or
pre-clinical studies - Immunohistochemistry and Microscopic examination.